Skip to content

¿Qué es la fluorosis?

La salud bucal es fundamental para una vida plena, y uno de los aspectos más importantes es la prevención de caries dentales. A medida que los niños crecen, su esmalte dental se desarrolla y se vuelve vulnerable a las bacterias que causan caries. Para protegerlos, el uso adecuado del flúor en sus dientes es crucial. Sin embargo, un exceso de flúor puede llevar a una condición llamada fluorosis, que afecta la estructura del esmalte y puede causar manchas blancas o incluso agujeros en los dientes. Este artículo explorará en profundidad qué es la fluorosis, cómo se desarrolla y las medidas preventivas que pueden tomar los padres para proteger a sus hijos.

En este texto, analizaremos el impacto de la fluorosis en los niños, las causas que la originan, las consecuencias que puede tener y las mejores prácticas para prevenirla. Además, exploraremos las investigaciones realizadas por la Organización Mundial de la Salud (OMS) sobre el uso adecuado del flúor y cómo se relaciona con la salud bucal de los niños. A medida que avancemos en este tema, esperamos proporcionar información valiosa que ayude a los padres a tomar decisiones informadas sobre la salud bucal de sus hijos.

¿Qué es la fluorosis?

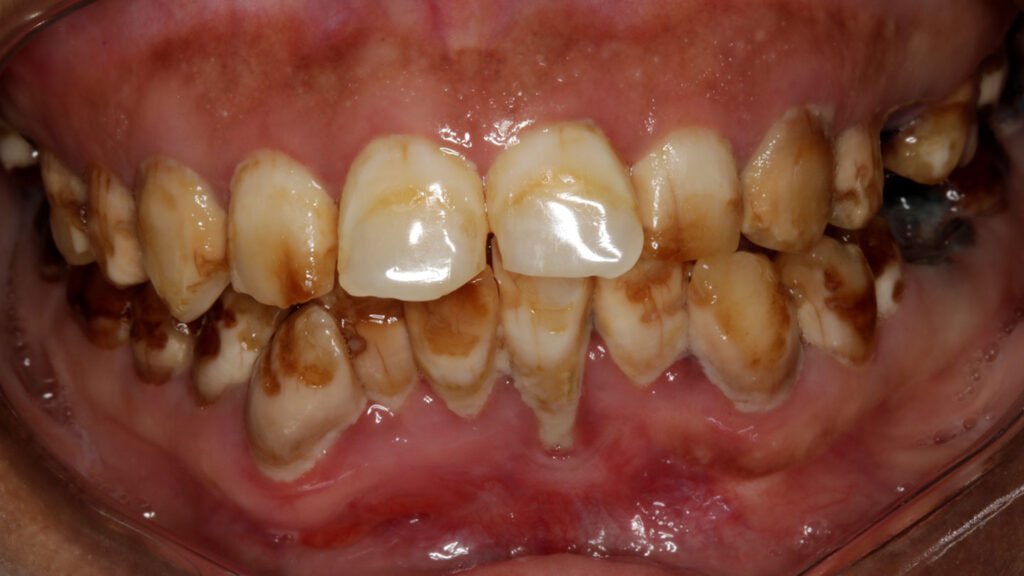
La fluorosis es una condición que afecta al esmalte dental de los niños debido a un exceso de flúor durante su desarrollo. El flúor es un elemento químico esencial para la salud bucal, ya que ayuda a prevenir las caries dentales. Sin embargo, cuando se consume en cantidades excesivas, puede dañar el esmalte y causar manchas blancas o incluso agujeros en los dientes. Este fenómeno ocurre principalmente en niños menores de ocho años, quienes aún están en desarrollo y tienen sus dientes permanentes bajo la línea de encías.

A medida que los dientes permanentes emergen, el riesgo de fluorosis disminuye considerablemente. Sin embargo, es importante recordar que incluso a edades más avanzadas, el uso excesivo de flúor puede tener consecuencias negativas. Por lo tanto, es fundamental que los padres se familiaricen con las cantidades recomendadas de flúor en sus productos dentales y se aseguren de usarlos adecuadamente para proteger la salud bucal de sus hijos.

Factores que influyen en la fluorosis

La fluorosis puede ser causada por varios factores, entre ellos, el consumo excesivo de agua con alto contenido de flúor o la ingesta de alimentos que contengan este elemento en exceso. Además, algunos estudios han sugerido que la exposición prolongada a niveles elevados de flúor durante el desarrollo dental puede aumentar el riesgo de fluorosis.

Un factor importante es la edad del niño. Los niños menores de ocho años son más propensos a desarrollar fluorosis debido a que sus dientes están aún en desarrollo y son más vulnerables al daño causado por el exceso de flúor. A medida que los dientes permanentes emergen, el riesgo disminuye considerablemente. Por lo tanto, es crucial que los padres se aseguren de usar pasta dental con flúor adecuada para niños menores de tres años y una cantidad limitada de pasta dental para los niños de tres a seis años.

Consecuencias de la fluorosis en los dientes

La fluorosis puede tener consecuencias significativas en los dientes de los niños, ya que afecta su estructura y apariencia. Las manchas blancas o las irregularidades en los dientes son algunas de las manifestaciones más comunes de esta condición. Estas manchas pueden ser discapacitantes para los niños al afectar su autoestima y confianza en sí mismos. Además, la fluorosis puede llevar a la erosión del esmalte, lo que aumenta el riesgo de caries dentales.

En casos graves, la fluorosis puede causar agujeros en los dientes, lo que requiere tratamientos adicionales como coronas o rellenos dentales. Estas consecuencias pueden tener un impacto significativo en la salud bucal y social de los niños, por lo que es crucial prevenirla mediante medidas adecuadas desde temprana edad. A medida que los niños crecen, es importante mantener una vigilancia constante sobre su salud bucal para detectar cualquier signo de fluorosis y buscar tratamiento oportuno si se presenta.

Medidas preventivas contra la fluorosis

Para prevenir la fluorosis, existen diversas medidas que pueden tomar los padres. Uno de los métodos más efectivos es usar pasta dental con flúor en niños menores de tres años, ya que esta concentración ayuda a proteger sus dientes sin causar daños excesivos. Para los niños de tres a seis años, se recomienda usar una cantidad limitada de pasta dental para evitar un exceso de flúor.

Además, es importante mantener una buena higiene bucal. Esto incluye cepillar los dientes dos veces al día con pasta dental y enjuague bucal. También es fundamental que los niños visiten al dentista regularmente para chequeos periódicos. Estas medidas no solo ayudan a prevenir la fluorosis, sino que también promueven una salud bucal óptima en los niños.

La relación entre el flúor y la salud bucal de los niños

La fluorosis es un tema complejo que requiere un enfoque equilibrado. Si bien el flúor es esencial para prevenir caries dentales, su uso excesivo puede tener consecuencias negativas. La Organización Mundial de la Salud (OMS) ha realizado estudios exhaustivos sobre el uso adecuado del flúor en niños y ha establecido recomendaciones claras.

Según las investigaciones de la OMS, el flúor no tiene efectos negativos en el cuerpo humano cuando se utiliza en cantidades adecuadas. Sin embargo, es crucial que los padres se familiaricen con las cantidades recomendadas de flúor en sus productos dentales y se aseguren de usarlos adecuadamente para proteger la salud bucal de sus hijos. Esto incluye elegir pasta dental con flúor adecuado para niños menores de tres años y una cantidad limitada de pasta dental para los niños de tres a seis años.

Importancia del uso de pasta dental con flúor en niños

El uso de pasta dental con flúor es fundamental para prevenir caries dentales en niños, especialmente aquellos que están en desarrollo. Esta fórmula contiene un nivel adecuado de flúor que ayuda a fortalecer los dientes y prevenir la acumulación de bacterias que causan caries. Sin embargo, es importante recordar que el exceso de flúor puede tener consecuencias negativas.

Para niños menores de tres años, se recomienda usar pasta dental con flúor en cantidades reducidas para evitar un uso excesivo. A partir de los tres años, se pueden utilizar cantidades más altas de pasta dental, siempre bajo la supervisión de un profesional de la salud bucal. La elección del tipo de pasta dental también es importante, ya que existen opciones específicas diseñadas para niños con diferentes necesidades dentales.

El papel del dentista en la prevención de fluorosis

Un aspecto crucial en la prevención de fluorosis es la participación del dentista. Los dentistas son los profesionales más capacitados para detectar signos de fluorosis y recomendar tratamientos adecuados si se presenta. Durante las visitas regulares, los dentistas pueden realizar exámenes visuales y radiográficos que ayuden a identificar cualquier daño en los dientes.

Además, los dentistas pueden aconsejar sobre el uso adecuado de pasta dental con flúor y otros productos dentales para niños. Su experiencia y conocimiento permiten que tomen decisiones informadas sobre la salud bucal de los niños, minimizando así las posibilidades de fluorosis. Por lo tanto, es fundamental que los padres busquen atención regular del dentista para garantizar que sus hijos reciban el cuidado adecuado.

Conclusión

La fluorosis es una condición que puede afectar negativamente la salud bucal de los niños si se presenta en exceso. El uso adecuado del flúor es esencial para prevenir caries dentales, pero también es crucial evitar un uso excesivo que pueda causar daños a largo plazo. Los padres deben estar informados sobre las cantidades recomendadas de flúor y elegir productos dentales adecuados según la edad de sus hijos.

Además, la participación activa de los dentistas en la prevención de fluorosis es fundamental. A través de visitas regulares y exámenes periódicos, los dentistas pueden detectar signos tempranos de fluorosis y recomendar tratamientos efectivos si se presentan. Al tomar medidas preventivas y buscar atención oportuna cuando sea necesario, los padres pueden contribuir a garantizar que sus hijos tengan una salud bucal óptima y un futuro más brillante.

Configuracion